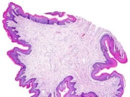
Dermatopathologist Unable to “Rule Out Pathology” on Skin Biopsy
NEW YORK, NY - After nearly six months of work up, local dermatopathologist Dr. Jerry Smith finally has to admit defeat. He simply can...
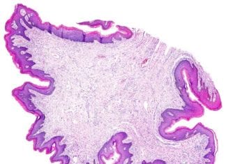
Here We Go Again, Pathology Was Left Out of Another Article
GOMERBLOG HQ - Whoops. We really screwed up this time: Pathology was left out of another Gomerblog article. To be specific, THIS ARTICLE. We...
New Journal of Negative Studies Announced
BOSTON, MA - The medical community is abuzz today with the announcement of the new Journal of Negative Studies. The journal, which will focus...
Hospital Hires Psychic to Track Pathologists’ Patient Satisfaction
LONG ISLAND, NY - Recent trends in the business of medicine have focused on the patient as the center of care. Accordingly, patient satisfaction scores...
Olympic Officials Apologize for Pools Filled with Blood
RIO DE JANEIRO, BRAZIL - Rio Olympic officials have once again apologized profusely for all of the Olympic swimming pools being filled with blood...
What Does Google Think of Your Medical Specialty?
See what Google thinks of your medical specialty. Don't see your specialty listed? Look it up and post away on our Facebook post! We'd...
Resident Fails Rotation for Forgetting to Place TPN Orders by 10 AM
MIAMI, FL - Mercy Hospital made a decision to fail Dr. Andy Oppenheimer yesterday after he once again forgot to put total parenteral nutrition (TPN) orders...
Medical Specialties as Game of Thrones Characters
As all medical specialties try to gain control of the hospital, we've narrowed down who their characters are:
Cardiology, you poor tortured soul with a...
Fourth-Year Medical School Rotations, Here’s the Gouge
As third-year medical students begin to think about scheduling for next year, they must carefully consider how to arrange their final, and arguably most...
Surgeon Sends Lunch for Frozen Section
SAN FRANCISCO, CA - After visiting the hospital's cafeteria, Dr. Jason Greene seated himself in the surgery staff lounge to enjoy his lunch. But a...














